Gallery
.avif)
.avif)
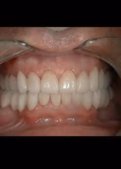
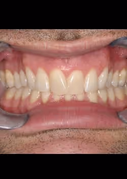
Tim
Tim came to us with a very common complaint about his smile. His teeth had worn and were chipping. They were crooked and uneven. The color was getting darker over time. He just was tired of not being happy with his smile.
The solution? Porcelain veneers to make over his smile. The goal was to take his worn out smile and change it into a knock out smile. Two visits, 2 weeks apart. Done.
What do you think? What a great result.
Natalie
Natalie came to us absolutely hating her smile. She had battled bulimia previously and fortunately got past that but as it does, bulimia can ruin teeth.
She attempted Invisalign to fix the problems but felt they actually looked worse than before.
Dr. Winters came up with a plan that fit her budget but also corrected the issues she had with her smile. By using only 4 porcelain veneers Natalie had the smile she had always dreamed of.
Having the knowledge and skills to do the least amount needed to gain the desired result is the approach Dr. Winters always takes for his patients.
Jean
Jean came to us with a myriad of TMJ related problems. Obvious bite comfort issues, facial pain, headaches, sleep issues, etc. She had multiple failed attempts to try and address these issues and make her feel better.
Dr. Winters developed a plan to not only make her feel better, comfortable and free of symptoms but the added benefit was she also got a fantastic new smile.
Comfort and esthetics teamed up to give Jean a phenomenal result.
Keeli
Keeli came to see Dr. Winters with some very unusual problems. She had been in braces for 5 years and that process had some devastating results for the bone around several of her teeth. It was to the point that there was no long term way to save those teeth. Obviously at her young age this was the worst scenario possible.
Dr. Winters devised a plan for Keeli that transformed her tragedy into a treasure. He was able to handle her specific problems with the bone and loss of several teeth, balance her bite issues since she was also experiencing TMJ issues and restore her smile to even better than before her problems.
Extremely involved and complicated situations like this require the abilities of a true dental expert.
Christie
It is quite common for people to have lower front teeth that are crooked, worn, chipped, etc. Usually it has to do with relapse after braces as a kid. At this point as an adult, even if you had them straightened, they still would be chipped and broken.
By using porcelain veneers, we can give the illusion of having had braces again so the teeth look perfectly straight. The added benefit though is now they also look pretty, like they used to when you were younger. Notice how these teeth look so realistic with color transition, translucency, etc.
Cynthia
Cynthia came to us all the way from south Texas seeking help for her teeth. She correctly stated they were chipping, wearing, breaking and her gums were receding. On top of all this she also was having typical TMJ issues – joint clicking and popping, clenching and grinding, headaches and neck tension.
After discussing several issues and possibilities with her, Cynthia decided to address all the problems by having a full mouth reconstruction. Basically it involves finding a jaw position that is comfortable for her so her symptoms disappear then add porcelain to the teeth at that new good bite position. The function and stability is there AND she gets a great new smile on top of it.
Ashley
Ashely was not exactly a fan of the whole dental experience. Like many people she experienced a lot of dental anxiety with her appointments. Add to that the fact that she had some definite issues with her smile, Ashley made a huge decision for herself – to have a smile makeover.
We were able to help her with her anxiety so she felt good and safe going through the procedure. We were able to expertly address all her esthetic concerns and now…… a beautiful, healthy smile that will last her years. What a great outcome.
Brittany
Brittany had dealt with a really tough dental problem her whole life. Born without one of her front teeth and the other one greatly small than what it should be, she wore a retainer with a tooth on it and tried to mask the problem as good as she could.
Brittany was referred to Dr Winters by a doctor in Florida who knew of Dr Winters expertise. She wanted and option to jaw surgery and braces like she had been told she had to have. The new plan consisted of some limited Invisalign, placing a dental implant and porcelain crown and 3 porcelain veneers.
This choice again was in place of upper and lower jaw surgery, braces and then still needing an implant, crowns veneers, etc.
Oh my goodness. Look at this amazing result. Creativity and thinking out of the box can have so many benefits. Patients treatments should not be cookie cutter approaches. With the breadth of knowledge Dr. Winters brings to understanding his patients issues and realizing there may be alternative ways to reach the final goal, more and more patients in Texas are smiling every day.
Amy
Amy had a lot of dental work that had gotten old and just did not reflect the smile she really felt. After replacing the old traditional crowns with state of the art porcelain crowns individually crafted by our ceramist it’s easy to see what Amy felt.
Now her smile is vibrant, youthful and really allows her to show that beautiful smile she knew she had.
Aryca
Aryca is a busy professional. Her job involves a lot of interaction with other people so her appearance was very important to her. Over time she was noticing her the edges of her teeth wearing down, getting thin and translucent and she had a crown on a front tooth that was making her gums red and unhealthy. She knew she wanted them to look better but she was afraid that veneers would make them look like chiclets. She had friends who had veneers and she did not like how fake they looked.
After meeting with Dr. Winters and hearing his plan, Aryca felt comfortable going forward. After some minor gum surgery Dr. Winters placed 10 porcelain veneers. Now Aryca’s smile is gorgeous but also the chronic problem she had with her gum is perfectly healthy now.
Definitely did not get chiclets like she was worried about.
Loren
Loren suffered through many attempts to help her smile. She was missing two permanent teeth in front and had dentistry done by several different dentists to try to make her smile look normal. It never looked good. Loren found Dr. Winters after an exhaustive search to find someone qualified to help her with her complicated situation. Loren received two porcelain bridges and four veneers plus gum reshaping and balancing to finally give her the smile of her dreams.
“Dr. Winters, I can’t tell you how long I have wanted have a smile like this. I have tried many times to get this fixed. No one else took the time and had the ability to finally give me the smile I have always wanted. Thank you, thank you, thank you.”
Georgia
Georgia came to us with an already OK smile. Her front teeth were very “splotchy” though. Georgia has very high ambitions and her ability to be confident and secure in her smile was going to be a key factor in her plan. After evaluation by Dr. Winters he determined all that was needed was 4 very conservative “minimal prep” veneers. After getting her new smile, Georgia was then able to progress through the Oklahoma Miss America pageant system, ultimately becoming Miss Oklahoma. After a top 10 finish in the Miss America contest, Georgia is now in grad school.
“Dr. Winters artistic ability and confidence in the process aloud me to trust him with my smile. When I was on stage and TV in front of millions of people in the Miss America contest, I knew my smile was going to allow me to show the real me. I didn’t need to worry or be self conscious about a thing. Thanks Dr Winters.”
Herb
Herb is the epitome of one of the good ol’ boys. A farmer/rancher his whole life, Herb’s comments about his teeth were “Everything is fine doc. I chew everything I want. Nothing hurts. I have noticed that these lower teeth were getting a little short though.” Actually a very typical response from men. Nothing bothers them until it’s too late. Fortunately Herb came to Dr. Winters before it was too late. Herb had pretty healthy gums, quite a bit of decay and a big problem with his bite. Herb was literally chewing up his own teeth. Through a technique utilizing the benefits of physiologic dentistry, Dr. Winters was able to restore Herbs teeth to a bite position where he no longer was clenching and grinding and chewing up his teeth. This full mouth porcelain reconstruction yields incredible results. Not only is the smile improved but jaw position, neck alignment, facial structure giving a more youthful appearance. It is as if Herbs teeth are 30 years younger.
Bryan
Bryan was a very successful young CEO who was loving everything about life except one thing, his smile. His front teeth were crowded and rotated, the side teeth were narrow making it look like his smile disappeared and the color was dark and yellow. He wanted a fix and he wanted it quick. He had business deals to handle and a very hectic schedule. After a consultation where we agreed 10 veneers would be his best choice, Dr. Winters transformed his smile in 2 visits about 2 weeks apart. Quick. Easy. Painless. Just the way Bryan wanted it.
“My time is very limited. I wanted improvements in my smile that didn’t take forever to accomplish. Dr. Winters took this into consideration and was very fast and efficient and got the me perfect smile I wanted.”
Drake
Drake had a multitude of problems with his teeth growing up. Problems with the enamel formation through out his mouth combined with him not taking proper care of his mouth with proper diet, brushing and flossing led to a big ol’ mess. At this point in his life Drake was ready to accept what it was going to take to keep his teeth healthy but he also wanted them to look better. After consultation with Dr. Winters, a comprehensive plan was established to keep his teeth healthy and give him a great smile. 10 custom crafted veneers made to Drakes expectations were applied and the results speak for themselves.
Look out girls, Drake needs a girlfriend. Glad we could help.
Sylvia
Sylvia never had the chance to get braces as a child and so just decided to “live with” her smile. She got busy being a wife and mom and put herself on the back burner.
Until now.
Finally, it was time to do something about her crooked and crowded teeth. However, this time she did not want to do braces even though she could. She wanted an alternative solution, one that would fix her problem while giving her a great new smile at the same time.
Dr. Winters utilized his unconventional approach with “instant orthodontics” to give the perfect smile.
In two appointments her lifetime of being unhappy with her smile, she now had the smile she always dreamed of.
Van
Van had often contemplated what it would be like to have better-looking teeth. A smile that was even. A smile that was the same color throughout. Teeth that had the same shape. He had almost done it several times in the past but just couldn’t find a doctor he fully trusted.
After meeting with Dr. Winters, that all changed. Knowing the vast experience Dr. Winters brought to the table, Van was finally ready.He could not have been more pleased with his results. Finally, the teeth looked like what he had always envisioned. Beautiful color. Even. Symmetrical. Longer. You could actually see them now when he smiled.
This result was exactly what he wanted. Thanks Dr. Winters.
John
John is the life of the party no matter what. His personality makes you feel good and you find that he is always smiling.
In spite of that John did not feel really confident in his smile so he found himself giving the “no teeth smile” in his pictures. They were worn and not shaped very well.
John asked Dr. Winters to help improve things without going too crazy. He didn’t want a “Hollywood” smile, just one that looked nice, was a little lighter in color and looked healthy.
With using porcelain veneers to get the smile improvements he was wanting, now John has all the confidence in his smile.
Shannon
Shannon’s smile had really been through it. The teeth were dark, she was missing one, had some issues with decay in between the teeth and they lacked any kind of uniformity. She finally decided one day that enough was enough.
After discussing her options with Dr. Winters, Shannon decided to jump in and go for it. With a combination of veneers, crowns and a bridge, Shannon’s smile was transformed in two visits.
Now she has the youthful, vibrant smile she so much wanted. She looks more relaxed and just like she has a totally new outlook on life.
Raheet
Raheet came to see Dr. Winters because he no longer wanted to have his “family trait” of a large gap between his 2 front teeth. He wanted to close that gap with bonding or a couple of veneers.
Dr. Winters had a discussion with him that comes up quite often. When he looks at transforming someone’s smile, many factors are considered. Form, function, size, symmetry, proportion and many other things go in to developing the appropriate answer for his patients.
This case was very tricky because we had extra space to close meaning the teeth had to get bigger. If only two teeth were addressed as Raheet originally wanted, the result would have been 2 very big front teeth that absolutely would not have worked. All the dimensions mentioned above would have been off.
The next best solution was to do 4 teeth. Dr. Winters designed the front four teeth to be larger but in a way where they did not look larger. Slight imperfections were added to the edges and individual shapes with the end result being a very symmetrical smile with the gap closed in a way where it all looked natural.Raheet was thrilled with the new smile.
Janet
Janet was so fun to work with. She went from wanting to fix her front teeth to adding some implants for 2 back teeth to maybe doing veneers and Invisalign to completely redoing everything to give her the ultimate esthetics and function.Her reconstruction left her super pleased with her smile, totally comfortable and really impressed with all the Dr. Winters did for her.
Marcia
Marcia came to us with quite a few things she wanted to address. Obviously, her smile and the individual teeth had issues but also her bite made her jaw position appear as if her lower jaw was crooked. This misalignment was also creating TMJ problems for her like headaches, limited opening, popping, and clicking in her joints, and neck issues. Daily pain was common for her.With the proper diagnosis and plan for how to make Marcia feel better, Dr. Winters completely rebuilt her bite position centering her jaw and giving her a beautiful smile all at the same time.
Evan
This one will make you take a second look. Evan was born without several permanent teeth and had some other poorly shaped front teeth. As he was growing up he dealt with an assortment of temporary solutions that never worked very well. Obviously, he was quite self-conscious of his smile so he rarely did. Too many people deal with smile problems like this when they don’t have to.
Evan came to Dr. Winters ready for a long-term solution that could give him the smile he never had. With some very creative planning, Dr. Winters transformed Evan’s smile from one he was embarrassed of to quite possibly his best feature. Incredible transformation in not only his smile but the way Evan presents himself.
Francine
Francine had crooked crowded teeth that she hated ever since her teenage days. As an adult, though the only option she was given to fix things was to do braces. That didn’t really fit her life so she just put up with it.
After discussing things with Dr. Winters, he introduced to her a concept he calls “Instant Orthodontics”. Through the use of porcelain veneers, Dr. Winters was able to give the impression Francine had indeed had braces as her teeth were not perfectly aligned. In addition to being perfectly straight, they were also white and beautiful.
This was all done in two appointments – and no braces.
Dennis
Dennis came to Dr. Winters with quite a mess with his smile. He had neglected to fix things for several reasons one of which was he never felt comfortable that someone could help his problem. Finally, after his consultation, he knew Dr. Winters was the person who could handle this complex situation and give him the smile he always wanted.
After developing the solution the Dennis’ problems, Dr. Winters really knocked it out of the park with his new smile. Look at the complete change not only in the smile but just the appearance of this man. Doesn’t even look like the same person.
Faye
Faye is one of Dr Winters favorite patients. Such a lovely and sweet person, Faye told us she always had felt bad about her smile and felt like it made her look old and tired.
One of the important things that happens when Dr. Winters evaluates a person’s smile is to determine how it affects not just the smile but also how it fits into the face and is there a way to alter facial form to give a more youthful appearance.
Faye came to us with dark and worn teeth. The dimensions of her face were compromised from the wear and lack of support from her worn teeth. Dr. Winters decided to do a full mouth reconstruction with the goal of not only giving Faye a great smile but also restoring a more proportional facial structure by restoring her teeth and bite and jaw position to their original postion.Now you can see the results. Faye no longer looks tired. In fact, she is 10 to 15 years younger. This was way better for her than any plastic surgeon could have hoped to obtain.
Beautiful smile. Beautiful face. Beautiful person.
Carrie
Carrie came to see Dr. Winters after already having had porcelain veneers placed by another Dr. She had put up with them for several years but NEVER really liked them. They were too fake-looking. Square. Same length. Nothing natural at all about them.
This is where the experience and expertise Dr. Winters has come into play. Carrie didn’t want drastic changes. She didn’t want a Hollywood smile. She wanted a natural, healthy-looking smile that looked real. No one should be able to tell you have porcelain veneers when they are done properly.
Dr. Winters designed the changes to be made and had them expertly crafted. Now Carrie has exactly what she wanted. A healthy, natural smile that fits her face so well no one would ever know.
Donna
Donna was a reluctant but grateful patient. Her entire life she had suffered from a variety of ailments related to her bite and TMJ. No one had been able to help her get comfortable and so she learned to live with daily discomfort.
After learning of Dr. Winter’s expertise in helping people with TMJ problems, she came for her consultation and decided, after careful consideration, to proceed with treatment.
After getting Donna comfortable and pain-free, Donna decided her long-term solution was to rebuild her bite in this new comfortable position. Dr. Winters performed a full mouth reconstruction using porcelain crowns, onlays and veneers. This is the ultimate in dental treatment as all aspects of the teeth color, shape and bite can be addressed.
As you can see the crowded, short teeth Donna had were transformed into stunningly beautiful teeth. Her smile is now so beautiful and most importantly, she is completely pain-free.
Barbara
Barbara spent too many years of her life regretting how her smile looked but more importantly, how it made her feel. Old technology and materials without any concern for esthetics gave her a smile she was embarrassed of but couldn’t afford to have replaced. Finally, the time came for her to take the step to improve things and get her the smile she deserved.
“Dr Winters has completely restored my self-confidence. I can’t tell you how this has affected me for so many years. Now I feel beautiful. I literally cry when I think about how much better I feel and look now.
Janet
Janet originally had concerns of “TMJ” which she had been dealing with for decades.
“I really was at the end of my rope. It was still a bit concerning to jump into a big process like this but Dr Winters and his staff made me feel very comfortable through the process. I loved being able to test my trial bite before committing to the final treatment. When it worked it just convinced me I was making the right decision. Final outcome? No more pain. No more TMJ and a beautiful smile. I love it and feel so much better.”
Kay
Kay had so many things wrong with the look and arrangement of her teeth. She spent her entire life hiding her smile and it was hard because she was a happy person who wanted to smile. She felt people didn’t really know the real Kay because she hid it. Unfortunately, Kay’s mom passed away. Kay’s mom got the chance to tell her though that she was leaving her some money and she wanted her to get her smile fixed because she knew how it had affected her life. Kay came to see Dr. Winters both happy and sad but it was time to get her what her mother wanted for her. This was a very involved and difficult case but because Dr. Winters has such an extensive background in handling such challenging situations the change was nothing short of miraculous.
“Dr. Winters has changed my life and given me a gift no one else could. Every time I smile now I think of my mother. Thank you so much Dr. Winters for this gift.”
.avif)
.avif)
Begin Your Transformation
Whether you're ready to explore a complete smile transformation or seeking long-overdue relief from TMJ symptoms, we invite you to experience dental care that feels different—because it is.

















.avif)









.avif)






























































































































































